診療914日目、癒合歯(ゆごうし)ってなに?
2026年2月24日
こんにちは、椎名町駅えがお歯科です。
【癒合歯】
2本つながった歯があるけど…これって大丈夫?
子どもの歯に見られる特徴と、親が知っておきたいポイントを歯科医師が解説
仕上げ磨きをしているとき、
「ん?この歯、やけに大きくない?」
「2本くっついているように見える…?」
そんなふうに感じたことはありませんか。
子どものお口の中に見られるひときわ大きな歯。
それは「癒合歯(ゆごうし)」と呼ばれる、生まれつきの歯の特徴かもしれません。
珍しいものではありますが、決して慌てる必要はありません。
ただし、生えかわりや歯並びに影響することがあるため、正しい知識を知っておくことが大切です。
癒合歯ってなに?

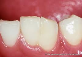
癒合歯とは、本来は別々に生えるはずの2本以上の歯が、途中でくっついた状態の歯のことです。
乳歯にも永久歯にも見られますが、乳歯で見つかるケースが多いのが特徴です。
見た目は、
- 通常の歯より横幅が広い
- 1本なのに2本分の存在感がある
といった印象で、仕上げ磨きの際に気づく保護者の方がほとんどです。
表面だけがくっついている場合もあれば、歯の中(歯根)まで一体化している場合もあり、
見た目だけでは判断が難しいため、レントゲン検査が重要になります。

どのくらいの割合で起こるの?
報告によって差はありますが、日本人では
- 乳歯:1〜5%
- 永久歯:0.2〜0.3%
とされており、決して極端に珍しいわけではありません。
特に下の前歯に多く、左右どちらか一方だけに見られるケースが大半です。
なぜ癒合歯ができるの?
癒合歯は、歯が作られる過程で起こるもので、生まれつきの特徴です。
育て方や歯磨きが原因で起こるものではありません。
妊娠中の環境や遺伝的要素が関与している可能性は指摘されていますが、はっきりした原因は分かっていません。
「自分のせいかも…」と感じる必要はありませんので、ご安心ください。
癒合歯があると、どんな影響があるの?
癒合歯があること自体で、
- 食事ができない
- 会話ができない
といった問題が出ることはほとんどありません。
ただし、成長とともに次のような点で注意が必要になる場合があります。
● 見た目の違和感
前歯に多いため、歯の横幅が目立ちやすく、笑ったときに左右差を感じることがあります。
● 歯並び・噛み合わせへの影響
歯の大きさが左右で異なるため、歯並びが乱れたり、噛み合わせのバランスが崩れたりすることがあります。
● 生えかわりがスムーズに進まない
乳歯が2本くっついていると、歯根の吸収がうまく進まず、なかなか抜けないことがあります。
また、永久歯が生えるスペースが足りず、萌出が遅れたり、位置がずれたりすることもあります。
● 虫歯になりやすい
くっついている境目に深い溝があると、歯ブラシが届きにくく、虫歯リスクが高まります。
● 永久歯が生えてこない場合がある
癒合歯がある部位では、後継永久歯がもともと存在しないケースも少なくありません。
その場合、乳歯が長く残りますが、乳歯は永久歯より寿命が短いため、将来的な管理が重要になります。
癒合歯が見つかったら、親ができること
① 早めに歯科医院でチェック
まずは歯科医院で、
- 癒合の状態
- 永久歯があるかどうか
- 歯並びや噛み合わせ
を確認してもらいましょう。
問題がなくても、定期的な経過観察がとても大切です。
② 必要に応じて形を整える
深い溝がある場合は、レジンやシーラントで溝を埋め、虫歯予防を行うことがあります。
③ 生えかわりに支障があれば対応
永久歯の萌出を妨げている場合は、慎重に判断したうえで抜歯を行うこともあります。
必ずレントゲンで永久歯の有無を確認してから判断します。
④ 毎日の歯磨きを丁寧に
癒合歯がある場合は、仕上げ磨きがとても重要です。
特に溝や歯と歯の境目は、意識して磨いてあげましょう。
「気づいてあげた」ことが、何よりの予防です
癒合歯は、早く見つけて正しく管理すれば、大きなトラブルなく成長を見守れるケースがほとんどです。
「なんだか大きい歯があるな」
その小さな気づきが、将来の歯並びや噛み合わせを守る第一歩になります。
少しでも気になることがあれば、遠慮なく歯科医院に相談してください。
一緒に、お子さんの大切な歯を育てていきましょう。







