診療987日目、歯が42本ある男性がギネス認定!
2026年4月11日
歯が42本ある男性がギネス認定
「歯が多い」は珍しい?過剰歯と癒合歯を歯科的にわかりやすく解説
「歯の本数が人より多いかもしれない」
そう聞くと、少し驚かれる方が多いかもしれません。
先日、マレーシアの33歳男性が42本の歯を持つ男性として、
Guinness World Records(ギネス)に認定されたというニュースが話題になりました。
一般的に成人の歯の本数は、親知らずを含めて32本です。

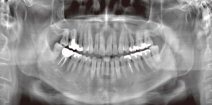
見本の画像は下に2本親知らずがある30本です。
それに対して、この男性は10本多い42本の歯が確認され、
さらに歯ぐきの中に埋まった歯が2本見つかったと報じられています。
ご本人は健康上の大きな問題はなく、
毎日の歯磨きやフロスで丁寧に管理しているとのことでした。

このニュースを見て、
- 「歯が多いことってあるの?」
- 「子どもの歯でも起きる?」
- 「逆に歯がくっついている人もいるの?」
そんな疑問を持った方もいるかもしれません。
今回は、ニュースをきっかけに
過剰歯(かじょうし)や癒合歯(ゆごうし)について、
歯科の視点からわかりやすくお話しします。
成人の歯は何本が普通?
まず、通常の歯の本数を整理すると、
- 乳歯(子どもの歯)は20本
- 永久歯(大人の歯)は28本
ここに親知らず4本を含めると32本
これが一般的な本数です。
そのため42本というのは、歯科的にもかなり珍しいケースといえます。
ギネスブックに載るほどですからね!
歯が多い「過剰歯」とは?
本来より多く歯ができる状態を、
歯科では過剰歯(かじょうし)と呼びます。
歯の芽(歯胚)が通常より多くできてしまうことで起こると考えられています。

過剰歯ができやすい場所
特に多いのは、
- 上の前歯の真ん中
- 奥歯の後ろ
- 下あごの小臼歯部 です。
中でも有名なのが、上の前歯の間にできる
正中過剰歯(せいちゅうかじょうし)です。

この歯があると、
- 前歯が生えてこない
- 歯並びがずれる
- すきっ歯になる
- 隣の歯を押す ことがあります。
過剰歯は珍しいの?
過剰歯そのものは、実はそこまで珍しくありません。
発生頻度はおよそ1〜3%程度といわれています。
100人いれば1〜3人程度にみられる計算です。
ただし、多くても1〜2本で、
今回のように10本以上の過剰歯があるケースは非常にまれです。
そのため世界的にも注目されたわけですね。
歯科医師でも、勤務年数の中で一度見るかどうかというレベルかもしれません。
過剰歯は必ず抜くの?
「歯が多いなら全部抜いた方がいいのでは?」と思われるかもしれません。
しかし、必ずしもそうではありません。
歯科では、
- 歯並びに影響しているか
- 隣の歯を押していないか
- 噛み合わせに問題があるか
- 炎症があるか
- 将来的にリスクがあるか を見て判断します。
抜歯をすすめることが多い場合
次のようなケースでは抜歯を検討します。
- 永久歯が生えてこない
- 矯正の妨げになる
- 歯根を傷つける
- のう胞ができる
- 清掃しにくい
逆に、問題がなければ経過観察になることもあります。
つまり、歯が多い=すぐ抜歯ではありません。
反対に「歯がくっつく」癒合歯とは?
歯が多いとは逆に、
2本の歯がくっついて1本のようになることがあります。
これを癒合歯(ゆごうし)といいます。

癒合歯の特徴
癒合歯では、
- 歯が大きく見える
- 本数が少なく見える
- 歯磨きしにくい
- 虫歯になりやすい ことがあります。
特に乳歯で見られることがあり、下の前歯に多い傾向があります。
保護者の方が
- 「歯の形が大きい」
- 「歯が一本足りない気がする」 と気づくこともあります。
癒合歯と過剰歯はどう違う?
簡単にいうと、
- 過剰歯→ 歯の数が増える
- 癒合歯→ 歯がくっついて本数が減って見える
同じ「歯の本数の違和感」でも、意味はまったく異なります。
見た目だけでは判断しづらいため、レントゲンで確認することが多いです。
子どもの歯でも起こる?
過剰歯も癒合歯も、子どもの歯で見つかることがあります。
特に学校検診や定期検診で
- 永久歯が出てこない
- 歯の本数が合わない
- 歯並びが気になる といった時に見つかることがあります。
子どものうちに見つかると、
将来の歯並びへの影響を減らしやすくなります。
歯科医院で確認できること
気になる場合、歯科医院では
- 口腔内診査
- パノラマレントゲン
- 必要に応じてCT などで確認できます。
見た目ではわからなくても、
歯ぐきの中に埋まっているケースもあります。
- 「歯の本数が気になる」
- 「左右で違う」
- 「なかなか生えてこない」
そんな時は、自己判断せず相談することが大切です。
歯の本数にも個人差がある
歯は、誰でも同じように生えてくるように見えて、
実はとても個人差があります。
- 歯が多い人
- 歯が少ない人
- 形が違う人
- くっついている人
珍しいことではあっても、それだけで異常とは限りません。
大切なのは、その歯が機能しているか
将来トラブルにならないかを見極めることです。
気になるときは早めの確認を
今回の42本の歯を持つ男性のニュースは、とても珍しい例ではあります。
けれどそこから分かるのは、歯の本数にも想像以上に個人差がある
ということです。
もしご自身やお子さまで、
- 歯が多い気がする
- 本数が合わない
- 形が違う
- 生え方が気になる
そんな時は、
早めに歯科医院で確認してみてください。
歯は「気づいた時」が、
いちばん相談しやすいタイミングかもしれません。







