「理想」の白い歯、追求します
☑ 完成イメージの「共有」
☑ 歯を「長持ち」させる工夫
☑ あなたに似合う「形・色合い」をご提案
03-6908-2281
「椎名町駅」より徒歩1分
☑ 完成イメージの「共有」
☑ 歯を「長持ち」させる工夫
☑ あなたに似合う「形・色合い」をご提案




ダイレクトボンディングは数種類のレジンを自由に組み合わせることで、患者様の歯の色と同じ様に仕上げることができます。また、セラミックを配合した高品質なレジンですので、強度もあり、美しく自然な治療が可能です。
歯を削る量を最小限に抑えつつ、1回の来院で白い歯を手に入れることができます。
「コンプレックスをなくしたい」
「自分を変えたい」
このような悩み、セラミックの治療で解決できます。
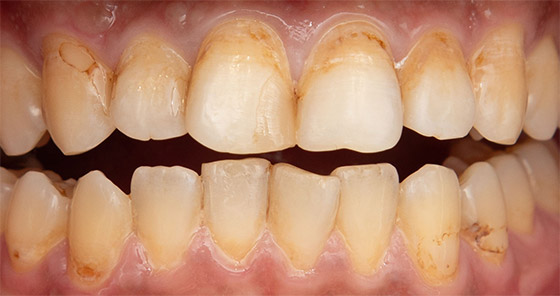
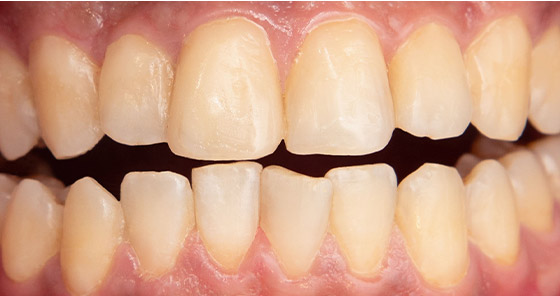
「美しい歯」にするための理論はすでに確立されています。しかし実際は「他院で審美的な治療をしたが、納得いかないので再治療してほしい」という方が多くいらっしゃいます。
当院のコンセプトは「確立された美の創造」そして「創造した美の長期安定」の2つです。
ここからは具体的な取り組みをご紹介します。
美は抽象的なものではなく「計測」できるものです。それを反映させることで、「誰が見ても美しい」と感じる口元を創造できます。
笑った時、下唇のアーチと歯並びのアーチを一致させることで口元の美しさを際立てることができます。
著者: 山崎長郎 クインテッセンス出版: エステティック クラシフィケーションズ より引用
「中切歯(1.618)」:「側切歯(1)」:「犬歯(0.618)」の配列にすることで前歯の審美性が向上します。
正中線とは、顔の真ん中を通るラインを指します。前歯と正中線の位置を合わせることで歯並びがバランスよく見えるようになります。
「歯肉」も審美的に重要な役割りを果たします。
この幅に合わせて被せ物を製作することで歯肉とのバランスが整います。
当院では、まず患者さんのご意見をしっかりと伺います。
治療前にカウンセリングを行い、治療開始前には「セットアップ模型」や「仮歯」を用いてイメージをすり合わせます。治療後の状態を具体的にイメージできるので、安心して治療を受けていただけます。
実際に白い歯を製作する歯科技工士が立ち会いますので、患者様と直接、色味や形など綿密なお話し合いができます。
当院では「なんかイメージと違った」「白すぎる」「他の歯の色と調和していない」などの問題を回避することができます。
治療前に時間をいただき、患者さんとお話をします。お互いのイメージが合致してから治療に入ります。模型や症例をお見せしながら、漠然としたイメージをより具体的にしていきます。

治療の初期段階での、イメージをすり合わせる工程となります。患者さんの歯型から模型を作り、どのような歯の形態にしていくか一致させます。

すべてのケースで行うわけではないのですが、特に審美性が要求される前歯の治療の場合、治療後の歯を想定して作られた模型「ワックス」で完成イメージを作製し、すり合わせを行います。
天然歯と人工物である被せ物との間にはどうしても「隙間」が生じてしまうため、その隙間から侵入した虫歯菌により、被せ物の中で虫歯が進行してしまうケースがあります。
下の画像は、他院で治療された患者さんの症例です。詰め物を外してみると内部が虫歯になっていることがわかります。


つまり治療時にいかに「隙間」を作らないかが重要です。しかしながら、この隙間は目では確認できません。
そこで当院では、高倍率拡大鏡などを活用して隙間の調整を行い、長期間ご利用いただける「被せ物」を作製します。
詰め物・被せ物というと「銀歯」をイメージされる方が多いかと思います。あまり知られていませんが、銀歯は金属アレルギーの原因になったり、金属イオンが歯茎に沈着し「ブラックライン」と呼ばれる黒ずみの原因となることがあります。


このように、健康になるための治療が「歯の健康」だけでなく「身体の健康」にまで害を及ぼすことがあるのです。そのため当院では、審美性と機能性を兼ね備えた、身体に優しい素材をご紹介しています。

ジルコニアは、「人工ダイヤモンド」とも呼ばれ、セラミックのなかでも優れた審美性・耐久性を誇ります。身体に優しい素材(陶器)ですので、保険適用の銀歯のように、金属イオンが体内に流出する危険性がありません。
そして高い耐久性を併せ持ちますので、食いしばりの強い方にもお勧めです。

オールセラミックは、天然歯のような自然な色合いを実現します。金属を使用していないので金属アレルギーの心配もなく、体に優しい素材です。ジルコニアセラミックと比べ耐久度は若干落ちます。
上記以外にも様々な素材がありますので、詳細はお問い合わせください。
美には「主観的な美」と「客観的な美」があります。
主観的な美は「ご自身が求める美」です。
客観的な美は「第三者から見た美」です。
ご自身が良いと思う美を追求するのも良いのですが、「客観的にどう見えるか」も大切な要素です。
客観的な美に関しては私たちにお任せください。
初診のカウンセリングの際「白さの度合い」「どのような色合いが似合うのか」さらに、患者さん自身のご希望をしっかりお聞きします。
気兼ねなく、何でもお話しください。
当院では、患者さんが抱えていらっしゃるお口のお悩みや疑問・不安などにお応えする機会を設けております。どんなことでも構いませんので、私たちにお話ししていただけたらと思います。
ご興味がある方は下記からお問い合わせください。
